मायग्रेनवर उपचारांसाठी गेल्यावर धक्कादायक निदान, मेंदूत आढळले जंत

फोटो स्रोत, American Journal of Case Reports
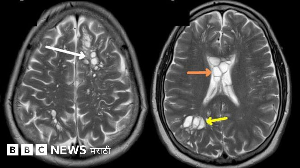
अमेरिकेत काही दिवसांपूर्वी एक व्यक्ती डॉक्टरांकडे आली होती. मला सतत मायग्रेनचा त्रास होतोय, असं त्यांनी सांगितलं. स्कॅन केल्यानंतर डॉक्टरांना त्यांच्या मेंदूत चक्क जंत आढळले.
लांबलचक जंत एका रिबिनसारखे गुंडाळलेल्या अवस्थतेत होते.
कमी शिजवलेले डुकराचे मांस खाण्यात आल्याने हा प्रकार घडल्याचा डॉक्टरांचा प्राथमिक अंदाज आहे. पण याविषयी आणखी संशोधन करण्याची गरज असल्याचं तज्ज्ञ सांगत आहेत.
अमेरिकेतील 52 वर्षीय पीडितेला मायग्रेनचा त्रास असह्य झाला होता. औषधांनीही काम होत नसल्याने त्यांनी डॉक्टरांचा सल्ला घेतला. तेव्हा ही बाब समोर आली आहे.
त्यानंतर डॉक्टरांनी स्कॅन केले आणि त्याच्या मेंदूमध्ये जंत आढळल्याची धक्कादायक माहिती समोर आली.
या जंतांमुळे पीडितेला सिस्टोसेरकोसिस आजार झाला होता.
हात नीट न धुणे आणि कमी शिजवलेले डुकराचे मांस खाल्ल्याने हा संसर्ग झाल्याचे डॉक्टरांचे प्राथमिक मत आहे.
सिस्टीरकोसिस (Cystocercosis) हा एक प्रकारचा संसर्ग आहे जो परजीवी Taenia solium (T.solium) च्या अळ्यांमुळे होतो. त्यांना डुकराचे टेपवर्म असंही म्हणतात. या घटनेनंतर मेंदूमध्ये सिस्ट्स म्हणजेच गाठी तयार होऊ शकतात.
टेपवर्मच्या संपर्कात आलेली एखादी व्यक्ती टेपवर्म अंड्यांद्वारे संक्रमण करू शकते - या प्रक्रियेला ऑटोइन्फेक्शन असं म्हटलं जातं.

फोटो स्रोत, Science Photo Library
यामध्ये शरीरातून कचरा म्हणून बाहेर टाकलेल्या गोष्टींमुळे (विष्ठा) घरात इतरांना संक्रमण होऊ शकतं.
पण, काही तज्ज्ञांच्या मते मात्र कमी शिजवलेलं डुकराचं मांस खाल्ल्यानं थेट 'सिस्टोसेर्कोसिस' होत नाही.
सध्या केवळ तसा अंदाज बांधला जात आहे. पण हात नीट न धुण्यामुळे रुग्णाला सिस्टोसेरकोसिसचा संसर्ग झाल्याचं अमेरिकन जर्नल ऑफ केस रिपोर्ट्समध्ये नमूद करण्यात आले आहे.
या घटनेनंतर अमेरिकेतील रुग्ण आता औषधांना प्रतिसाद देत आहे आणि बरा होत आहे.
हात न धुता खाल्ल्याने झाला हा आजार?
अमेरिकेतील सेंटर्स फॉर डिसीज कंट्रोल अँड प्रिव्हेन्शन (CDC) नुसार, जंत ऊतींमध्ये प्रवेश करतात आणि तेथून मेंदूमध्ये जातात आणि सिस्ट्स तयार करतात.
मेंदूमध्ये अशा सिस्टच्या उपस्थितीला न्यूरोसिस्टोसेरकोसिस (Neurocystocercosis) म्हणतात.
"संक्रमित व्यक्तीच्या विष्ठेद्वारे देखील हा रोग पसरू शकतो," असंही CDCने नमूद केलं आहे. दूषित अन्न, पाणी आणि विष्ठेच्या माध्यमातून या जंताची अंडी आपल्या शरीरात प्रवेश करतात.
आपण हात व्यवस्थित न धुता तोंडात अस्वच्छ बोटे घातली तरी जंतांची अंडी आपल्या शरीरात प्रवेश करू शकतात.
पण तज्ज्ञांच्या मते, केवळ न शिजवलेले डुकराचे मांस खाल्ल्याने सिस्टोसेरकोसिस होत नाही.

फोटो स्रोत, ZEPHYR/SCIENCE PHOTO LIBRARY
लॅटिन अमेरिकन देश, आशिया आणि आफ्रिकेच्या काही भागांमध्ये सिस्टोसेरकोसिसची स्थिती अधिक सामान्य आहे.
या शिवाय, ग्रामीण भागातही ही समस्या सामान्य आहे. डुक्कर हे या जंताचे मुक्त वाहक आहेत आणि ते किंवा त्यांचे मांस हे सगळीकडे उपलब्ध असतं.
आपल्या अस्वच्छ आणि खराब खाण्याच्या सवयींमुळे या रोगाचा धोका वाढू शकतो. हात न धुणे, दूषित पाणी आणि दूषित अन्न यामुळे लोक अशा अपघातांना बळी पडतात.
हात नीट कसे धुवावेत, हे जाणून घेण्यासाठी खालील व्हीडिओ नक्की पाहा.
या लेखात सोशल मीडियावरील वेबसाईट्सवरचा मजकुराचा समावेश आहे. कुठलाही मजकूर अपलोड करण्यापूर्वी आम्ही तुमची परवानगी विचारतो. कारण संबंधित वेबसाईट कुकीज तसंच अन्य तंत्रज्ञान वापरतं. तुम्ही स्वीकारण्यापूर्वी सोशल मीडिया वेबसाईट्सची कुकीज तसंच गोपनीयतेसंदर्भातील धोरण वाचू शकता. हा मजकूर पाहण्यासाठी 'स्वीकारा आणि पुढे सुरू ठेवा'.
Facebook पोस्ट समाप्त



























