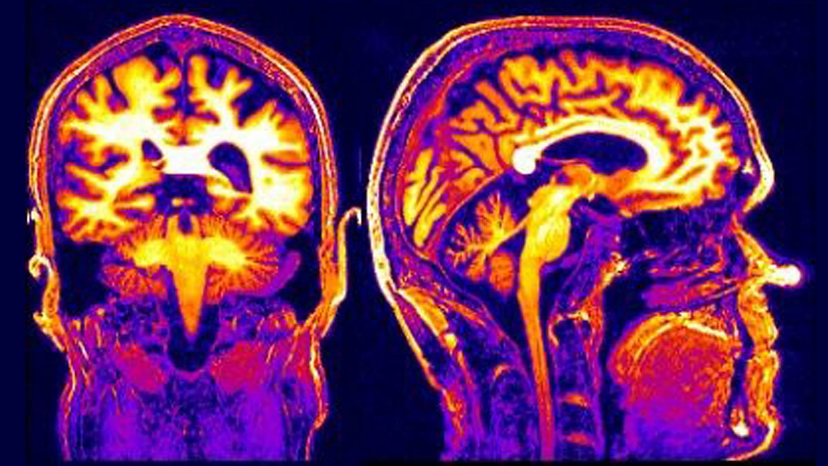
Robert McCrum, who survived a severe stroke in 1995, goes on a journey into his own brain to understand more about what happened to him.
All available episodes (2 total)
Discover more seriously interesting radio documentaries.