Main content

Rapping in an MRI scanner
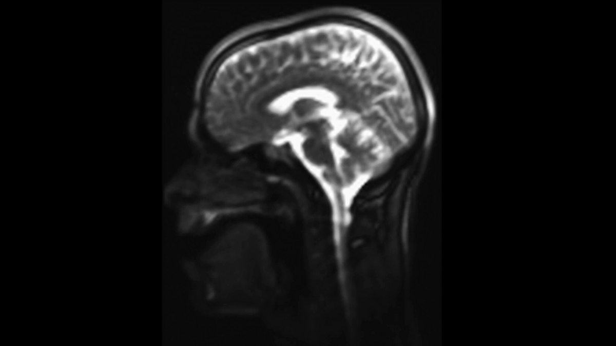
Take a look inside Alex Lathbridge’s vocal cords during a rap performance. This moving MRI scan was created by neuroscientist Sophie Scott and her team from University College London.
Duration:
This clip is from
More clips from BBC Inside Science
![]()
What was this mysterious object used for?
Duration: 01:53
![]()
Can you help identify this mysterious ‘scoop'?
Duration: 03:49
![]()
Beetroot Juice to Improve Failing Heartbeats
Duration: 02:34




