Main content
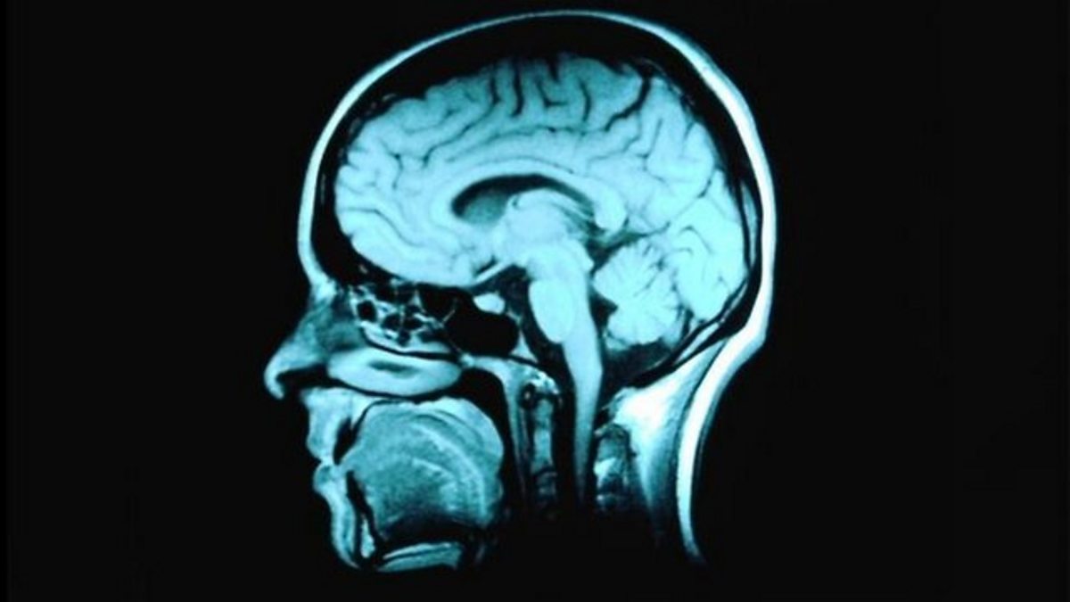
'New ideas' to treat brain tumours
Susan Short and Ed Jones discuss potential new treatments for brain tumours.
Duration:
This clip is from
Featured in...
![]()
Health clips
Listen to a selection of clips from recent and upcoming programmes.
![]()
Science and Nature clips
Listen to a selection of clips from recent and upcoming programmes.
More clips from 14/02/2014
![]()
'The world is attentive' to London Fashion Week
Duration: 05:08
![]()
How to deal with flooding
Duration: 03:34
More clips from Today
![]()
Iran deputy foreign minister: 'US can't have its cake & eat it'
Duration: 13:43
![]()
Jeremy Bowen: Ceasefire gives space but not a solution
Duration: 10:44
![]()
NS&I set to pay millions in compensation to customers
Duration: 04:31
![]()
Bowen: Trump is at crossroads and he must make a choice
Duration: 06:57








